Los acinos glandulares son las estructuras epiteliales multicelulares donde se encuentran las células secretoras[1] de una glándula exocrina.
Los acinos glandulares conforman el parénquima, la parte secretoria o adenómero, en una glándula exocrina.
Estructura
El sector secretorio de la glándula es llamada adenómero y se reconoce como parénquima.
El estroma rodea el adenómero y es el tejido conectivo de sostén.
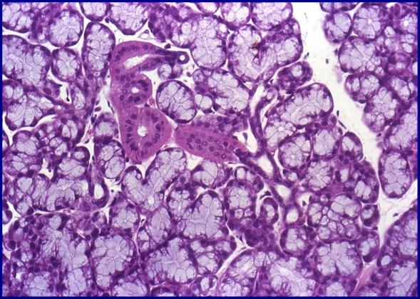
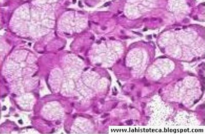
Acinos glandulares se denominan a los adenómeros, cuando presentan una estructura compacta esferoidal, con una luz canalicular central inexistente o mínima. El término acino deriva del latín y significa "uva" y por tanto acinar significa "con forma de uva".[2][3]
Dado que el acino completo es un esferoide y la luz del conducto es tubular, las células integrantes de los acinos muestran forma piramidal con la cúspide hacia el lumen.
Las células secretoras del acino representan al epitelio#Epitelio simple cúbico. Tienen núcleo redondeado basal. Están en contacto estrecho con las adyacentes.
Las células epiteliales acinares presentan una polaridad marcada. Su polo apical libera gránulos de secreción en la luz del conducto. Su polo basal descansa sobre el estroma conjuntivo.
La ultraestructura del sector basal de los acinos muestra células mioepiteliales que descansan sobre una lámina basal.[4]
Tipos de acinos glandulares
- Acinos glandulares salivales
- Los acinos salivales son característicos y presentan componentes mucosos, serosos y mixtos (glándula submaxilar).
- Acinos glandulares mamarios
- Los lóbulos de la glándula mamaria consisten en grupos de alveolos (acinos) que contienen lactocitos las células epiteliales secretoras mamarias, que sintetizan la leche materna.[5]
El estroma acinar es la parte formada por los tejidos de sostén: tejido conectivo. A través del estroma llegan la inervación y la circulación sanguínea.
Referencias

DETALHE+DE+ÁCINO+PANCREÁTICO+EXÓCRINO,+(1000X).png)


